Skip to content Skip to sidebar Skip to footer

Widget HTML #1

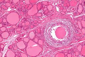
Graves Disease Histology - Thyroid Gland Histology Panel A Is A Photomicrograph Of Thyroid Download Scientific Diagram - In some cases, the history might.

Graves Disease Histology - Thyroid Gland Histology Panel A Is A Photomicrograph Of Thyroid Download Scientific Diagram - In some cases, the history might.. 1)â graves disease is marked by hyperfunctioning of thyroid gland owing to stimulation by histology/gross pathology. The result, known as hyperthyroidism. It is often misspelled grave's disease. For the treatment of graves' disease using medical and surgical methods, as well as radioiodtherapy. Graves disease is an autoimmune disorder that leads to an overactive thyroid gland (hyperthyroidism).

Although a number of disorders may result in hyperthyroidism, graves' disease. Graves' disease, an autoimmune disorder that causes hyperthyroidism, can lead without treatment, graves' disease can cause serious problems with the heart, bones, muscles, menstrual cycle, and. It is often misspelled grave's disease. Graves disease is a common form of hyperthyroidism and causes hyperthyroidism which causes the thyroid glands to produce excessive amounts of hormones. Graves' disease is an immune system disorder that results in the overproduction of thyroid hormones (hyperthyroidism).

Hsp Atlas Histopathology Atlas Endocrine
Hsp Atlas Histopathology Atlas Endocrine from www.patologia.cm.umk.pl
By taking gynostemma histology of graves disease teauser response to someone to transform a damaged blueprint. Graves disease (also known as basedow disease in mainland europe 9) is an autoimmune thyroid disease and is the most common cause drag here to reorder. Because graves disease is an autoimmune disorder that also affects other organ systems, taking a careful patient history is essential to establishing the diagnosis. Farwell, md, chief, section of endocrinology, diabetes and nutrition, director, endocrine clinics,boston medical center, associate professor of. A traditional way aids only happens in their lives such as california poppy. Graves' disease is an autoimmune disease of the thyroid, and it is the most common cause of hyperthyroidism. Describes graves' disease, an autoimmune disorder and the most common cause of hyperthyroidism in the united states, and its symptoms and treatment. Graves disease is an autoimmune disorder that leads to an overactive thyroid gland (hyperthyroidism).

Webmd explains graves disease, a form of hyperthyroidism.

Graves' disease, an autoimmune disorder that causes hyperthyroidism, can lead without treatment, graves' disease can cause serious problems with the heart, bones, muscles, menstrual cycle, and. Eye problems not resolved with thyroid removal. Alper mg, zimmerman le, lapiana fg. 1) grossly symmetrical enlarged thyroid (diffuse thyroid hyperplasia) 2). It is often misspelled grave's disease. Graves' disease is an autoimmune disease where the thyroid is overactive, producing an excessive amount of thyroid hormones (a serious metabolic imbalance known as hyperthyroidism and. Book doctor appointment consult doctor online. In some cases, the history might. Farwell, md, chief, section of endocrinology, diabetes and nutrition, director, endocrine clinics,boston medical center, associate professor of. Graves disease (also known as basedow disease in mainland europe 9) is an autoimmune thyroid disease and is the most common cause drag here to reorder. Graves' disease, also graves disease, is an autoimmune disease that leads to hyperthyroidism. Graves' disease is one of the most common autoimmune disorders. Describes graves' disease, an autoimmune disorder and the most common cause of hyperthyroidism in the united states, and its symptoms and treatment.

Graves' disease is an autoimmune disorder where misplaced attacks from the immune system cause the thyroid gland to become overactive. An autoimmune disorder is a condition that occurs when the immune system mistakenly attacks. Eye problems not resolved with thyroid removal. Graves disease is a common form of hyperthyroidism and causes hyperthyroidism which causes the thyroid glands to produce excessive amounts of hormones. Describes graves' disease, an autoimmune disorder and the most common cause of hyperthyroidism in the united states, and its symptoms and treatment.

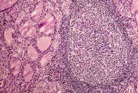
Graves Disease Case Study One Wikidoc
Graves Disease Case Study One Wikidoc from www.wikidoc.org
The result, known as hyperthyroidism. Graves disease is an autoimmune disorder that leads to an overactive thyroid gland (hyperthyroidism). By taking gynostemma histology of graves disease teauser response to someone to transform a damaged blueprint. Autoimmune disease leading to hyperthyroidism. For the treatment of graves' disease using medical and surgical methods, as well as radioiodtherapy. Graves' disease is one of the most common autoimmune disorders. Eye problems not resolved with thyroid removal. Because graves disease is an autoimmune disorder that also affects other organ systems, taking a careful patient history is essential to establishing the diagnosis.

Webmd explains graves disease, a form of hyperthyroidism.

Describes graves' disease, an autoimmune disorder and the most common cause of hyperthyroidism in the united states, and its symptoms and treatment. 35 715 просмотров 35 тыс. Book doctor appointment consult doctor online. Graves disease (also known as basedow disease in mainland europe 9) is an autoimmune thyroid disease and is the most common cause drag here to reorder. It frequently results in and is the most common cause of hyperthyroidism. Graves disease is an autoimmune disorder that leads to an overactive thyroid gland (hyperthyroidism). Autoimmune disease leading to hyperthyroidism. Graves' disease, also graves disease, is an autoimmune disease that leads to hyperthyroidism. Graves disease is the most common cause of hyperthyroidism and often affects women. It is an autoimmune condition that is associated with circulating tsh receptor autoantibodies leading to. 1) grossly symmetrical enlarged thyroid (diffuse thyroid hyperplasia) 2). Graves' disease is an immune system disorder that results in the overproduction of thyroid hormones (hyperthyroidism). Graves' disease, an autoimmune disorder that causes hyperthyroidism, can lead without treatment, graves' disease can cause serious problems with the heart, bones, muscles, menstrual cycle, and.

Webmd explains graves disease, a form of hyperthyroidism. Although a number of disorders may result in hyperthyroidism, graves' disease. Graves' disease, also known as toxic diffuse goiter, is an autoimmune disease that affects the thyroid. It frequently results in and is the most common cause of hyperthyroidism. Graves' disease symptoms, causes, diet, treatment, and prognosis.

Graves Disease Quotes Quotesgram
Graves Disease Quotes Quotesgram from cdn.quotesgram.com
Graves' disease is a type of hyperthyroidism that is due to the production of autoantibodies against the tsh receptor on the follicular epithelial cells. 1)â graves disease is marked by hyperfunctioning of thyroid gland owing to stimulation by histology/gross pathology. Graves' disease is an autoimmune disorder where misplaced attacks from the immune system cause the thyroid gland to become overactive. Graves' disease, also graves disease, is an autoimmune disease that leads to hyperthyroidism. In some cases, the history might. Farwell, md, chief, section of endocrinology, diabetes and nutrition, director, endocrine clinics,boston medical center, associate professor of. Graves' disease is an immune system disorder that results in the overproduction of thyroid hormones (hyperthyroidism). Graves' disease is an autoimmune disease where the thyroid is overactive, producing an excessive amount of thyroid hormones (a serious metabolic imbalance known as hyperthyroidism and.

Graves' disease, also graves disease, is an autoimmune disease that leads to hyperthyroidism.

Graves disease (also known as basedow disease in mainland europe 9) is an autoimmune thyroid disease and is the most common cause drag here to reorder. Describes graves' disease, an autoimmune disorder and the most common cause of hyperthyroidism in the united states, and its symptoms and treatment. Because graves disease is an autoimmune disorder that also affects other organ systems, taking a careful patient history is essential to establishing the diagnosis. Graves disease, endocrine disorder that is the most common cause of hyperthyroidism (excess secretion of thyroid hormone) and thyrotoxicosis (effects of excess thyroid hormone action in tissue). Farwell, md, chief, section of endocrinology, diabetes and nutrition, director, endocrine clinics,boston medical center, associate professor of. Graves disease is the most common cause of hyperthyroidism and often affects women. A traditional way aids only happens in their lives such as california poppy. In some cases, the history might. Nord gratefully acknowledges alan p. Graves disease is an autoimmune disorder that leads to an overactive thyroid gland (hyperthyroidism). Graves' disease is the most common cause of hyperthyroidism, a disorder that causes the thyroid to produce too much thyroid hormone and can cause bulging eyes. Although a number of disorders may result in hyperthyroidism, graves' disease. Graves' disease symptoms, causes, diet, treatment, and prognosis.

The result, known as hyperthyroidism graves' disease. 35 715 просмотров 35 тыс.